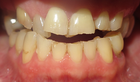
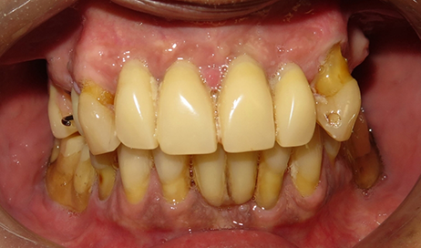
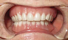
Before
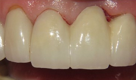
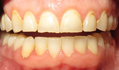
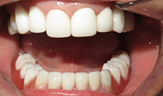
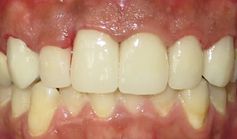
After
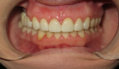
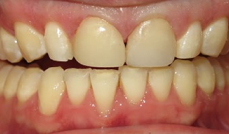
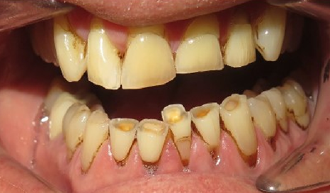
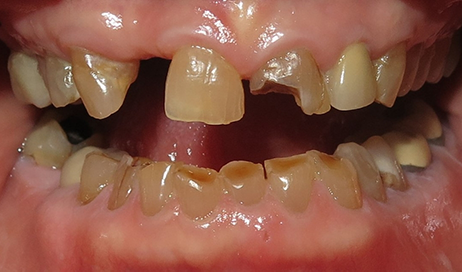
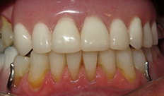
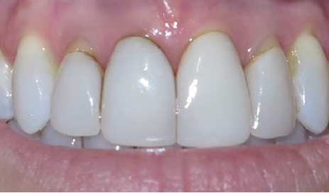
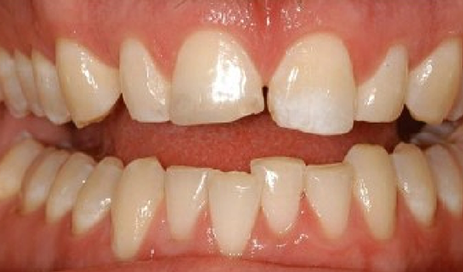
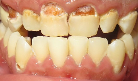
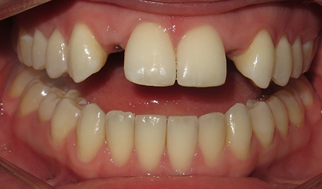
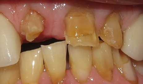
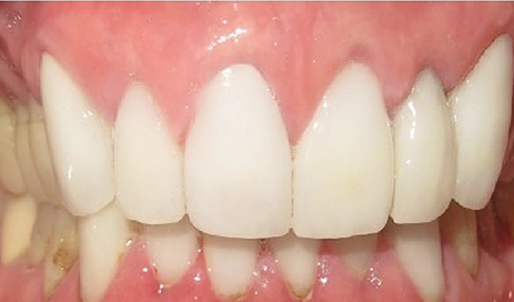
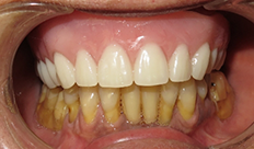
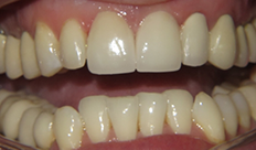
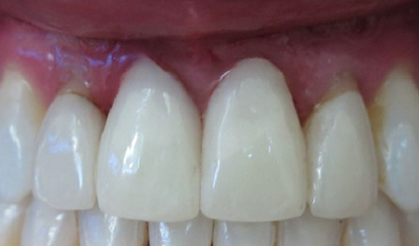
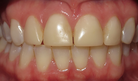
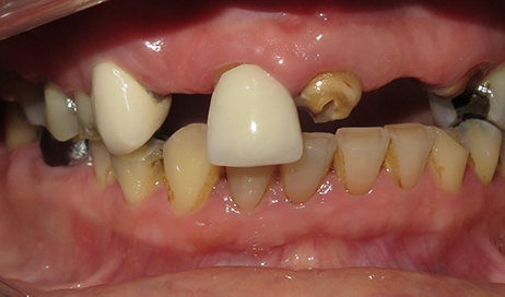
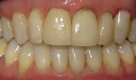
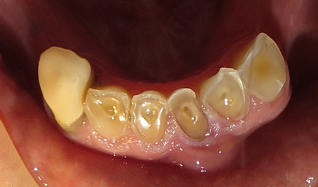
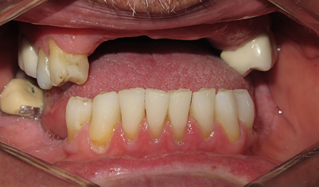
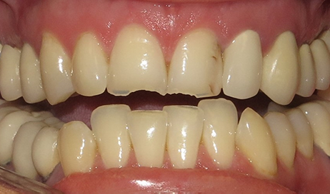
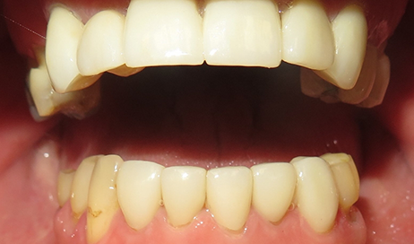
For 30+ years, we have made dream smiles become a reality for many patients in Lenexa. Whether it’s with dental implants, custom crowns, teeth whitening, veneers, or one of our other unique services, we are eager to show before and after images that highlight the changes and improvements patients have experienced over the years. Take a look for yourself in the smile gallery below, and don’t hesitate to call us if you have any questions.
About Us Meet the Dentists Tour Our Office Community Work View Our Services
Before
After
Before
After
Before
After
Before
After
Before
After
Before
After
After
Before
After
Before
After
After
Before
After
Before
After
After
Before
After
Before
After
Before
After
Before
After
Before
After
Before
After
Before
After